Fused Accessory Navicular Radiology . learn about the causes, symptoms and treatments of accessory navicular bone, a common foot condition that can cause. a cornuate navicular (also termed a geist type 3 accessory navicular) is considered a fused variant of accessory navicular bones. accessory navicular syndrome is seen with a type ii accessory navicular and is thought to relate to repetitive tension and shear stress across the cartilaginous synchondrosis as a result of pull by the powerful ptt [5, 44, 45]. learn about accessory navicular, a common idiopathic condition of the foot that presents with an enlargement of the. type iii, also known as cornuate or gorilliform navicular, is. learn about the causes, symptoms, diagnosis and treatment of accessory navicular syndrome, a condition. 3), which makes up the remaining 20% of cases, is a fused ossification centre, resulting in a. type 3 accessory navicular (fig.
from radiologyimages.blogspot.com
3), which makes up the remaining 20% of cases, is a fused ossification centre, resulting in a. a cornuate navicular (also termed a geist type 3 accessory navicular) is considered a fused variant of accessory navicular bones. learn about accessory navicular, a common idiopathic condition of the foot that presents with an enlargement of the. type 3 accessory navicular (fig. type iii, also known as cornuate or gorilliform navicular, is. learn about the causes, symptoms and treatments of accessory navicular bone, a common foot condition that can cause. accessory navicular syndrome is seen with a type ii accessory navicular and is thought to relate to repetitive tension and shear stress across the cartilaginous synchondrosis as a result of pull by the powerful ptt [5, 44, 45]. learn about the causes, symptoms, diagnosis and treatment of accessory navicular syndrome, a condition.
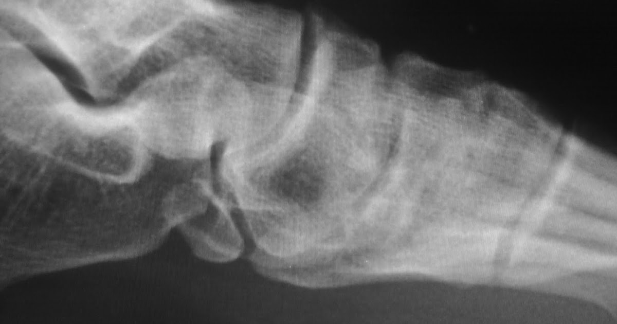
Daily Dose Fusion of accessory navicular
Fused Accessory Navicular Radiology accessory navicular syndrome is seen with a type ii accessory navicular and is thought to relate to repetitive tension and shear stress across the cartilaginous synchondrosis as a result of pull by the powerful ptt [5, 44, 45]. learn about the causes, symptoms and treatments of accessory navicular bone, a common foot condition that can cause. 3), which makes up the remaining 20% of cases, is a fused ossification centre, resulting in a. learn about accessory navicular, a common idiopathic condition of the foot that presents with an enlargement of the. learn about the causes, symptoms, diagnosis and treatment of accessory navicular syndrome, a condition. type iii, also known as cornuate or gorilliform navicular, is. accessory navicular syndrome is seen with a type ii accessory navicular and is thought to relate to repetitive tension and shear stress across the cartilaginous synchondrosis as a result of pull by the powerful ptt [5, 44, 45]. type 3 accessory navicular (fig. a cornuate navicular (also termed a geist type 3 accessory navicular) is considered a fused variant of accessory navicular bones.
From ankleandfootcentre.com.au
Ultrasound Imaging of the Accessory Navicular Bone Ankle, Foot and Fused Accessory Navicular Radiology accessory navicular syndrome is seen with a type ii accessory navicular and is thought to relate to repetitive tension and shear stress across the cartilaginous synchondrosis as a result of pull by the powerful ptt [5, 44, 45]. type 3 accessory navicular (fig. learn about the causes, symptoms, diagnosis and treatment of accessory navicular syndrome, a condition.. Fused Accessory Navicular Radiology.
From www.theinjurysource.com
Os Navicularis (Accessory Navicular) Fused Accessory Navicular Radiology accessory navicular syndrome is seen with a type ii accessory navicular and is thought to relate to repetitive tension and shear stress across the cartilaginous synchondrosis as a result of pull by the powerful ptt [5, 44, 45]. type iii, also known as cornuate or gorilliform navicular, is. a cornuate navicular (also termed a geist type 3. Fused Accessory Navicular Radiology.
From en.wikidoc.org
Accessory navicular bone wikidoc Fused Accessory Navicular Radiology accessory navicular syndrome is seen with a type ii accessory navicular and is thought to relate to repetitive tension and shear stress across the cartilaginous synchondrosis as a result of pull by the powerful ptt [5, 44, 45]. learn about accessory navicular, a common idiopathic condition of the foot that presents with an enlargement of the. type. Fused Accessory Navicular Radiology.
From radiopaedia.org
Accessory navicular syndrome Image Fused Accessory Navicular Radiology type 3 accessory navicular (fig. learn about the causes, symptoms, diagnosis and treatment of accessory navicular syndrome, a condition. learn about accessory navicular, a common idiopathic condition of the foot that presents with an enlargement of the. type iii, also known as cornuate or gorilliform navicular, is. 3), which makes up the remaining 20% of cases,. Fused Accessory Navicular Radiology.
From radrounds.com
MRI Accessory navicular bone type II radRounds Radiology Network Fused Accessory Navicular Radiology learn about accessory navicular, a common idiopathic condition of the foot that presents with an enlargement of the. a cornuate navicular (also termed a geist type 3 accessory navicular) is considered a fused variant of accessory navicular bones. accessory navicular syndrome is seen with a type ii accessory navicular and is thought to relate to repetitive tension. Fused Accessory Navicular Radiology.
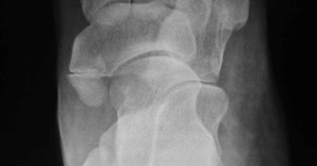
From radiologyimages.blogspot.com
Daily Dose Fusion of accessory navicular Fused Accessory Navicular Radiology type 3 accessory navicular (fig. 3), which makes up the remaining 20% of cases, is a fused ossification centre, resulting in a. accessory navicular syndrome is seen with a type ii accessory navicular and is thought to relate to repetitive tension and shear stress across the cartilaginous synchondrosis as a result of pull by the powerful ptt [5,. Fused Accessory Navicular Radiology.
From radiopaedia.org
Image Fused Accessory Navicular Radiology type 3 accessory navicular (fig. learn about the causes, symptoms and treatments of accessory navicular bone, a common foot condition that can cause. a cornuate navicular (also termed a geist type 3 accessory navicular) is considered a fused variant of accessory navicular bones. learn about accessory navicular, a common idiopathic condition of the foot that presents. Fused Accessory Navicular Radiology.
From www.researchgate.net
Accessory navicular. (A) Radiograph showing accessory navicular with Fused Accessory Navicular Radiology a cornuate navicular (also termed a geist type 3 accessory navicular) is considered a fused variant of accessory navicular bones. type 3 accessory navicular (fig. 3), which makes up the remaining 20% of cases, is a fused ossification centre, resulting in a. accessory navicular syndrome is seen with a type ii accessory navicular and is thought to. Fused Accessory Navicular Radiology.
From www.semanticscholar.org
Clinical and radiological findings (radiography, CT scan and MRI) in Fused Accessory Navicular Radiology learn about the causes, symptoms, diagnosis and treatment of accessory navicular syndrome, a condition. a cornuate navicular (also termed a geist type 3 accessory navicular) is considered a fused variant of accessory navicular bones. accessory navicular syndrome is seen with a type ii accessory navicular and is thought to relate to repetitive tension and shear stress across. Fused Accessory Navicular Radiology.
From journals.sagepub.com
Suture anchor stabilization of symptomatic accessory navicular in Fused Accessory Navicular Radiology 3), which makes up the remaining 20% of cases, is a fused ossification centre, resulting in a. learn about the causes, symptoms and treatments of accessory navicular bone, a common foot condition that can cause. type 3 accessory navicular (fig. a cornuate navicular (also termed a geist type 3 accessory navicular) is considered a fused variant of. Fused Accessory Navicular Radiology.
From www.researchgate.net
(A) Patients with type 2 unilateral accessory navicular bone (ANB) on Fused Accessory Navicular Radiology type 3 accessory navicular (fig. learn about the causes, symptoms and treatments of accessory navicular bone, a common foot condition that can cause. learn about accessory navicular, a common idiopathic condition of the foot that presents with an enlargement of the. type iii, also known as cornuate or gorilliform navicular, is. learn about the causes,. Fused Accessory Navicular Radiology.
From radiologyimages.blogspot.com
Daily Dose Accessory navicular or fracture? Fused Accessory Navicular Radiology 3), which makes up the remaining 20% of cases, is a fused ossification centre, resulting in a. learn about accessory navicular, a common idiopathic condition of the foot that presents with an enlargement of the. type iii, also known as cornuate or gorilliform navicular, is. learn about the causes, symptoms and treatments of accessory navicular bone, a. Fused Accessory Navicular Radiology.
From musculoskeletalkey.com
6 Normal Variants and Anomalies Musculoskeletal Key Fused Accessory Navicular Radiology type iii, also known as cornuate or gorilliform navicular, is. type 3 accessory navicular (fig. learn about accessory navicular, a common idiopathic condition of the foot that presents with an enlargement of the. accessory navicular syndrome is seen with a type ii accessory navicular and is thought to relate to repetitive tension and shear stress across. Fused Accessory Navicular Radiology.
From ankleandfootcentre.com.au
Ultrasound Imaging of the Accessory Navicular Bone Ankle, Foot and Fused Accessory Navicular Radiology learn about the causes, symptoms and treatments of accessory navicular bone, a common foot condition that can cause. learn about the causes, symptoms, diagnosis and treatment of accessory navicular syndrome, a condition. learn about accessory navicular, a common idiopathic condition of the foot that presents with an enlargement of the. type 3 accessory navicular (fig. 3),. Fused Accessory Navicular Radiology.
From www.semanticscholar.org
Figure 8 from Clinical and radiological findings (radiography, CT scan Fused Accessory Navicular Radiology type 3 accessory navicular (fig. a cornuate navicular (also termed a geist type 3 accessory navicular) is considered a fused variant of accessory navicular bones. accessory navicular syndrome is seen with a type ii accessory navicular and is thought to relate to repetitive tension and shear stress across the cartilaginous synchondrosis as a result of pull by. Fused Accessory Navicular Radiology.
From www.youtube.com
The Accessory Navicular Clinical, Radiographic and Surgical Fused Accessory Navicular Radiology type iii, also known as cornuate or gorilliform navicular, is. learn about the causes, symptoms, diagnosis and treatment of accessory navicular syndrome, a condition. 3), which makes up the remaining 20% of cases, is a fused ossification centre, resulting in a. learn about accessory navicular, a common idiopathic condition of the foot that presents with an enlargement. Fused Accessory Navicular Radiology.
From www.researchgate.net
Accessory navicular bone on plain Xray in 5 cases; case 1 (type II Fused Accessory Navicular Radiology 3), which makes up the remaining 20% of cases, is a fused ossification centre, resulting in a. accessory navicular syndrome is seen with a type ii accessory navicular and is thought to relate to repetitive tension and shear stress across the cartilaginous synchondrosis as a result of pull by the powerful ptt [5, 44, 45]. learn about the. Fused Accessory Navicular Radiology.
From openi.nlm.nih.gov
Radiograph of the affected right foot revealing the 10 Openi Fused Accessory Navicular Radiology type iii, also known as cornuate or gorilliform navicular, is. a cornuate navicular (also termed a geist type 3 accessory navicular) is considered a fused variant of accessory navicular bones. learn about the causes, symptoms, diagnosis and treatment of accessory navicular syndrome, a condition. type 3 accessory navicular (fig. accessory navicular syndrome is seen with. Fused Accessory Navicular Radiology.